产品分类Category
联系我们 contact us
15937117016
- 手机:
- 15937117016
- 电话:
- 15937117016
- 邮箱:
- 593393554@qq.com
- 地址:
- 郑州市中原区化工路联东U谷中原科创企业园7-2栋楼五楼
多普勒彩色牛马用B超机BXL-S300 牛黄体血流检测B超







BXL-S300 系列产品技术参数
1.1、整机防水、防尘,防水级别IPX7;结实耐用
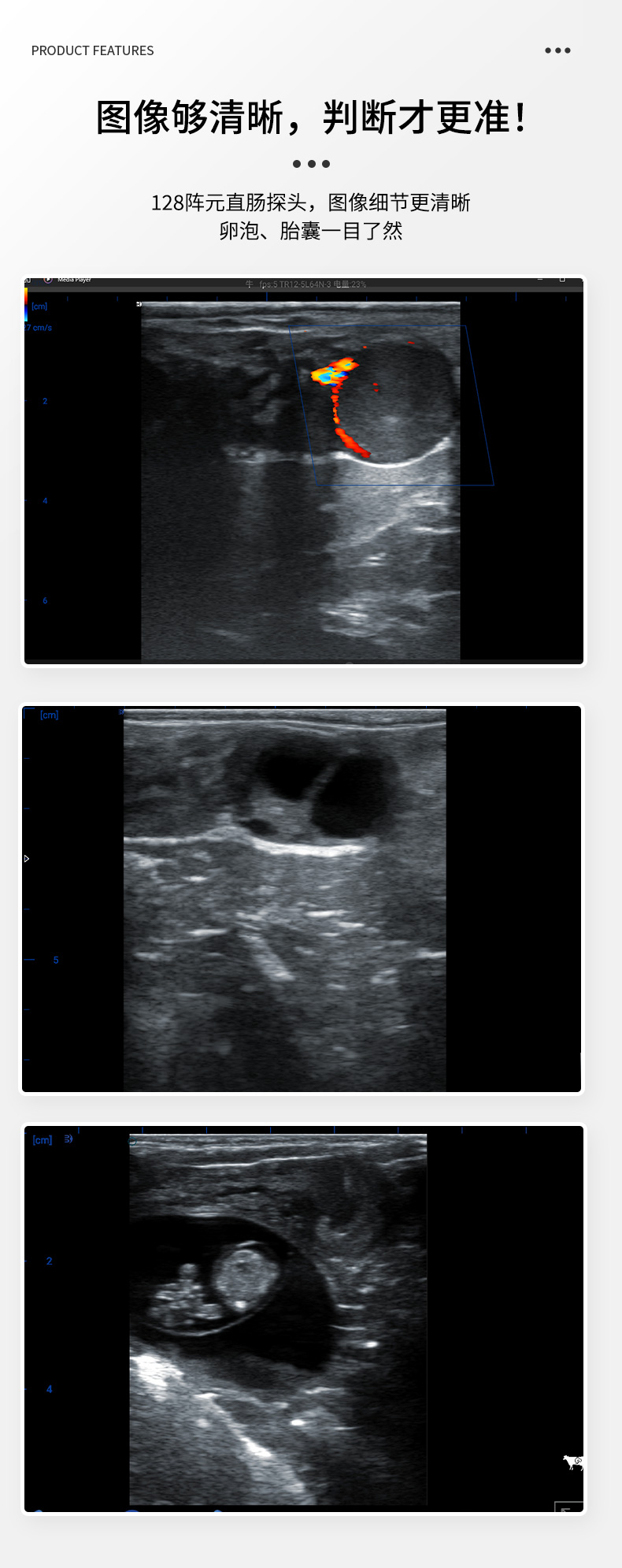
1.2、全数字化无线小蛮腰动物专用多普勒彩超系统,适用牛、羊、马、猪、驴、骆驼、小动物、野生动物等动物扫查
1.3、通道数:32
1.4、内置锂电池,工作续航≥6小时。无线充电
1.5、超声系统扫查模式:B、B/M、M等多种显示模式,多普勒彩超CF 模式、M 模式、PW 模式、PDI模式、DPDI 模式及穿刺增强模式(此模式仅适用于线阵探头)
1.6、多普勒彩超CF模式成像:所配探头均支持彩色多普勒成像、探头彩色多普勒频率:4.0-5.7MHz 4组可调,彩色增益:1-100%可调,PRF:0.5-8.4KHz可调,壁滤波210-1680Hz可调,偏转角:-20-20°可调。
1.7、测量单位,可cm/mm调节,可精确到0.01级别
1.8、在不冻结图像状态下可直接保存图像,冻结键自动冻结状态5档可调:5分钟、10分钟、15分钟、30分钟、永不。
1.9、有GPS定位可选
1.10、主机系统自带Wi-Fi模块实现无线传输模式,5G传输
1.11、无线连接显示器支持:平板、智能手机、笔记本电脑、台式电脑。显示器尺寸、分辨率可自选
1.12、显示器安装免费APP无线显示,APP兼容操作系统:Android(安卓)、Windows(微软)
1.13、系统灰阶:256级,系统动态范围36-120db可调
1.14、片段增益:TGC八段可调,TGC可一键调节
1.15三同步:实时显示 B+PW 双同步模式或 B+CF+PW 三同步模式
1.16、参数可滑动调节
1.17、具有中英文操作界面,可扩展西班牙语、俄语、阿拉伯语。
1.18、主机探头: 128阵元直肠线阵BXL-S300(可扩展192阵元探头)、128阵元大凸探头BXL-S301、128阵元高频线阵探头BXL-S302(可扩展192阵元探头)、128阵元羊直肠探头BXL-S303(可扩展192阵元探头)、128阵元直肠凸阵BXL-S304、128阵元背膘探头BXL-S305(可扩展192阵元探头)、128阵元微凸探头BXL-S306
1.19、B模式下:增益:1-100%可调 频率:4.0-9.0MHz可调 动态范围调节:36-120db可调 谐波:4.0-9.0NHz可调
1.20、一键优化图像功能,斑点减少。
1.21、测量和分析:支持距离、周长、面积、圆面积等基础测量,具备多种动物专业产科分析软件包,≥50种动物产科测量种类。心脏测量等多种测量功能
1.22、主机使用方式:可卡扣到腰带上,可手持。显示器使用方式:手腕、吊带
1.23、网格设置快速测量功能,≥20种网格快速测量显示
1.24、智能测量背膘厚度、眼肌面积功能
1.25、可AI智能识别
1.26、多种系统预设功能,B模式成像可局部放大/缩小,图像可滑动调节缩小、放大
1.27、检查类型:软件内置有牛、羊、马、猪、驴等动物对应的胚胎、卵巢、子宫、泌尿系统、背膘、其他部位的检查预设模式,可选择各个模式进行对应检查、专业测量。各个模式下已固定相对应的主机参数。检查模式≥50种。用户可自定义预设参数。
1.28、体标:牛(胚胎、卵巢、子宫、泌尿系统、背膘、臀部等不同部位体标)、猪(胚胎、卵巢、子宫、泌尿系统、背膘、臀部等不同部位体标)、山羊(胚胎、卵巢、子宫、泌尿系统、背膘、臀部等不同部位体标)、水牛、绵羊、羊驼、猫、犬等动物不同部位体标,不少于60种体标
1.29、存储:静态图像存储及预览,保存图片时可在图像上添加动物体标、动态电影图像存储及回放,可扩展。可每帧图像进行编辑、添加图标后进行保存。
1.30、动物报告:可自动读取电子耳标,可收集智能化设备数据,可通过耳标号进行图像、视频归档。可编辑动物耳标号、各种状态等,保存此动物影像图片时,有拍摄动物照片来进行对应功能。无线连接打印机 打印检测报告
1.31、专利产品,专利号:
1.32、重量:整机重量400g(带探头)
1.33、图像帧频数:60帧/秒
1.34、主机尺寸:193*91*32 mm (长×宽×高)
1.35、软件版本:动物专用版本V3.0.0
标配:
主机 一台
平板显示器 一个
平板显示器保护壳 一个
跨带 一根
适配器 一个
无线充电器 一个
学习优盘 一个
说明书/合格证/保修卡 一套
手提箱 一个
耦合剂 一瓶
腰带卡扣 一个
选配件:延长杆




