- 手机:
- 15937117016
- 电话:
- 15937117016
- 邮箱:
- 593393554@qq.com
- 地址:
- 郑州市中原区化工路联东U谷中原科创企业园7-2栋楼五楼
在现代奶牛养殖中,“配得准、配得早、配得对”已经成为提高繁殖效率的关键目标。随着养殖规模不断扩大,传统依靠外观、行为判断母牛发情和排卵的方法误差大、效率低,而 牛用B超机检测奶牛卵泡发育 正在成为大型牧场、育种企业和繁殖技术服务团队的常规手段。
超声不仅能看到卵泡是否存在,还能清晰呈现卵泡大小、发育状态、卵巢功能、是否接近排卵,从而帮助养殖场精准安排人工授精时间,提高受胎率。这是繁殖管理进入“可视化时代”的典型标志。

卵泡为什么要用B超检测?
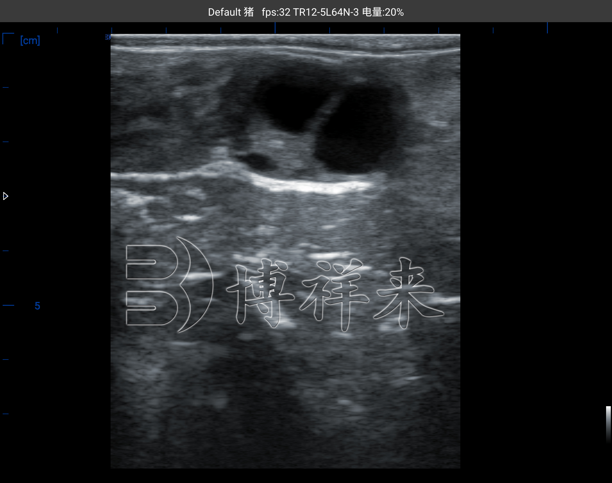
奶牛的发情表现差异大,高产牛“静立不明显”更是让基层技术人员难以准确判断发情阶段。卵泡虽然在体内,但在牛用B超机的影像下,它以一个“圆形或椭圆低回声结构”的形态呈现出来,直径、壁厚、排列方式都可以直接观察。
这意味着,繁殖员不再依赖经验,而是依靠影像——一种更客观的数据。
一个优势在于,卵泡发育遵循生理规律:
当卵泡发育到 10mm–16mm 时,通常进入优势卵泡阶段;当 接近18mm以上,往往接近排卵。
通过 BXL-S300智能AI牛用B超机 等设备,可以用更高的分辨率直接读出卵泡直径,并自动标注边界,让卵泡大小判断更加准确。
从卵泡影像解读奶牛的繁殖状态
通过牛用B超机检查奶牛的卵巢,技术员通常会关注以下影像特征:
在卵巢表面出现大小不一的泡状结构时,通常意味着奶牛处于卵泡波的发育周期。优势卵泡一般回声均匀、轮廓清晰,而退化卵泡则呈现不规则轮廓、回声不均。接近排卵的卵泡会出现壁变薄、张力明显增强的影像特点。熟练的技术人员可以通过图像观察推断是否进入排卵前 12 小时左右的关键时期。
在繁殖管理中,这种影像信息比传统外观观察更可靠,也更适合高产牛群。特别是对于泌乳量高、发情行为不明显的奶牛,卵泡影像几乎是确定***佳授精时间的***可靠标准。

确定配种时间:B超图像的价值
卵泡发育是一个动态过程,牛用B超机可以准确反映:
- 卵泡是否进入优势阶段
- 卵泡是否排卵
- 卵巢是否存在黄体(排卵后的标志)
- 是否出现卵巢静止或卵巢囊肿
在实际牧场管理中,技术员通常会通过卵泡大小来判断授精时机。当卵泡接近 18mm—20mm 且壁变薄时,通常意味着 6–18 小时内就可能排卵,此时进行人工授精受胎率更高。
对于技术水平不高的基层人员,使用 BXL-S300智能AI牛用B超机 能自动测量卵泡大小,让判断过程更加直观。AI测量功能将卵泡边界实时描绘,并给出毫米级的直径数值,减少人为误差,提高整体繁殖成功率。
牛用B超机检测奶牛卵泡发育,已经成为现代牧场必不可少的工具。
它不仅让繁殖管理更科学,还大幅提升繁殖成功率、降低空怀天数,并帮助牧场构建更稳定的生产节奏。
随着 BXL-S300 等智能AI牛用B超机的应用普及,卵泡检测正在变得更简单、更精准、更标准化,让繁殖管理真正进入“精准时代”。




