- 手机:
- 15937117016
- 电话:
- 15937117016
- 邮箱:
- 593393554@qq.com
- 地址:
- 郑州市中原区化工路联东U谷中原科创企业园7-2栋楼五楼

从“凭感觉”到“看得见”
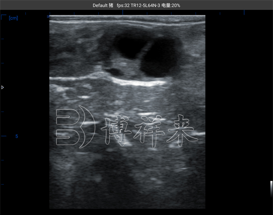
在B超影像下,母牛卵巢上的卵泡、黄体、甚至卵巢囊肿都能被清晰地识别。正常卵泡在图像上呈圆形或椭圆形的黑色无回声区,周围有一圈均匀的高回声边界,这意味着卵泡内部充满液体。随着发情周期推进,卵泡逐渐增大,从***初的2毫米左右发育到7毫米以上,接近排卵期时壁变薄、形态略不规则,这是排卵即将发生的信号。
通过这些影像变化,兽医不再需要依靠经验去“猜”牛是否到了配种时机,而是能以图像为依据,精准判断排卵窗口,从而实现真正意义上的“定时输精”。
提前掌握繁殖节奏
牛用B超机不仅能看到卵泡的存在,还能连续跟踪其发育过程。技术员可定期监测卵泡大小变化,判断母牛是否进入发情后期、是否有排卵迹象。对于发情不明显或卵巢功能不稳定的个体,B超检查能帮助及时发现问题,比如卵泡停滞、双侧卵巢发育不均衡、或长期存在的囊性卵泡。
这些信息对于制定繁殖计划非常关键。通过监测卵泡发育,可以科学安排***同步、定时输精或胚胎移植时间,大幅提高繁殖成功率,也为牛场实现批次化管理提供了数据支持。

黄体与卵泡:牛用B超下的“动态平衡”
在母牛的繁殖周期中,卵泡与黄体的变化交替出现。排卵后,卵泡塌陷并形成黄体,B超影像表现为回声增强、结构较实的圆形组织。通过观察黄体的存在与血流情况,技术人员不仅能确认排卵是否发生,还能在配种后21天左右通过多普勒功能检测黄体血流强度,辅助判断母牛是否已经怀孕。
这种早期检测方式,比传统妊娠诊断提前了至少一周时间,为牛场节省了宝贵的繁殖周期。
从单次检测到精细管理
在大型牧场中,B超检测已不再只是简单的“看卵泡”。牧场管理者往往将影像结果与繁殖记录系统结合,形成完整的生殖健康档案。每头母牛的卵泡直径、黄体状态、配种日期、妊娠确认时间都被可视化存储,实现繁殖过程的数据化管理。
这种方式不仅提高了繁殖效率,也让兽医在面对繁殖障碍时能快速追溯原因。例如,若多头母牛在同期发情后仍未受胎,影像记录可帮助判断问题出在卵泡发育、排卵时机,还是子宫环境上。
牛用B超机让繁殖管理从“看不见”走向“可视化”。它让卵泡发育、排卵、黄体形成等生理变化不再抽象,而是能被清晰记录与量化分析。对于追求高繁殖率和精准管理的牛场而言,这不仅是一台检测仪,更是一双能“看透时间”的眼睛。
从影像出发,让每一次配种都有数据支撑——这正是牛用B超机的价值所在。欢迎了解更多牛用B超相关产品




