产品分类Category
联系我们 contact us
15937117016
- 手机:
- 15937117016
- 电话:
- 15937117016
- 邮箱:
- 593393554@qq.com
- 地址:
- 郑州市中原区化工路联东U谷中原科创企业园7-2栋楼五楼
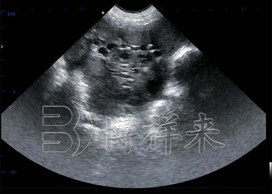
猪卵泡检测B超机:批次化管理好帮手
在现代规模化养猪场中,批次化管理已成为提高生产效率、规范繁殖流程的关键手段。而实现母猪繁殖批次统一的前提,是掌握母猪的卵泡发育状态,从而科学安排配种时间。借助猪卵泡检测B超机,养殖场可以直观判断卵巢发育情况,为母猪配种提供精准依据,是实现繁殖批次化的高效工具。

一、批次化管理为何要检测卵泡?
批次化配种要求多个母猪群体在短时间内完成发情、排卵、配种、分娩等流程。如果只是依赖人工判断发情,会出现:
- 配种时机不一致,影响批次分娩;
- 部分母猪排卵延迟,导致空怀或窝重下降;
- 难以判断发情是否同步成功,影响药物使用效率。
使用猪卵泡检测B超机,可快速判断卵泡是否发育成熟、是否即将排卵,从而精准调整配种时间,实现真正意义上的“配种同步,分娩集中”。

二、猪卵泡检测B超机的功能优势
1、实时观察卵泡发育状态
可通过直肠或腹部探头清晰显示卵巢结构,检测是否有成熟卵泡,判断配种时机是否到位。
2、非侵入式操作,高安全性
不伤猪体,适用于妊娠前反复检查。
3、数据化管理
支持图像保存与数据比对,可与批次管理系统配套使用,形成完整的母猪繁殖档案。
4、提高受胎率和窝重
通过精准配种时机控制,显著降低返情率,提升窝均活仔数。
三、使用场景推荐
- 发情同步后确认排卵情况
- 多次配种失败母猪排查
- 首次配种母猪卵巢发育判断
- 大批量配种期提高效率
四、案例分析:如何实现配种同步?
某大型猪场在开展7天发情同步方案后,通过B超检测确认卵泡成熟时间,仅安排一次精准配种,配种成功率从原来的78%提升至92%,返情率明显下降,分娩期更集中,有效缓解分娩监护压力。
五、结语:科学繁殖,从卵泡管理做起
猪卵泡检测B超机不仅是一台影像设备,更是现代猪场实现精准繁殖管理、提升经济效益的重要利器。在批次化管理的大趋势下,选择合适的猪用B超机,意味着您在养殖效率和智能管理上走在了***。欢迎咨询博祥来兽用B超机厂家




